For Healthcare Professionals

RA-ILD risk calculator

Pulmonary Auscultation Wrapper

Pulmonary Auscultation

Does your patient have “Velcro-like” crackles detected on respiratory auscultation, even if asymptomatic?

Medical history of respiratory symptoms Wrapper

Medical history of respiratory symptoms

Does your patient have cough and/or dyspnoea of more than 3 months’ duration?

Perform RA-ILD risk scoring Wrapper

Perform RA-ILD risk scoring

perform_hrct_scan_directly
Result

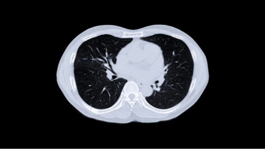
Perform HRCT scan directly

HRCT can provide information on the extent and severity of the disease. For more HRCT related information

perform_spirometry
Result

Perform Spirometry + DLCO + Chest 
X-ray. Depending on the results, a high-resolution chest CT will be considered

Respiratory function tests can aid in diagnosis and can provide information on extent and severity of the disease. For more related information

The RA-ILD risk scoring of your patient is 5 section

ra_ild_risk_score_5_text_wrapper

ra_lld_score_5_yellow_circle

The RA-ILD risk scoring of your patient is 5

for_a_ra_ild_risk_score_4
Result

For RA-ILD risk score of 5 or 6, perform spirometry + DLCO + chest X-ray. Depending on the results, a high-resolution chest CT will be considered

Respiratory function tests can aid in diagnosis and can provide information on extent and severity of the disease. For more related information

The RA-ILD risk scoring of your patient is 4 section

ra_ild_risk_score_4_text_wrapper

blue-tick_ra_lld__score_4

The RA-ILD risk scoring of your patient is 4

for_a_ra_ild_risk_score_4
Result

For a RA-ILD risk score ≤4, no complementary tests are required to rule out ILD at the present time

For more information related to management of RA-ILD

The RA-ILD risk scoring of your patient is 9 section

ra_ild_risk_score_9_text_wrapper

ra_ild_risk_score_9_red

The RA-ILD risk scoring of your patient is 9

score_9
Result

For a RA-ILD risk score ≥7, perform high resolution chest CT directly

HRCT can provide information on the extent and severity of the disease. For more HRCT related information

Footnote
  • Abbreviations: DAS28-VSG, Disease activity score-28 (Spanish version); RA, rheumatoid arthritis; ULN, upper limit of normal; RF, rheumatoid factor; ACPA, Anti-cyclic citrullinated peptide antibody; ILD, interstitial lung disease; DLCO, Diffusing capacity of the lungs for carbon monoxide; CT, computed tomography
References
  1. Narvaez J, et al. Reumatol Clin. 2023;19:74-81.